親知らずの抜歯

当クリニックでの抜歯について

抜歯は、ほとんど全ての歯科医院で実施している処置ですが、親知らずの抜歯は処置が容易なケースから困難なケースまで多岐にわたり、すべての歯科医院で対応できるわけではありません。当クリニックでは、口腔外科出身の歯科医師が対応するため、ほとんどのケースで抜歯することが可能です。総合病院の口腔外科を紹介されたけど、近くの歯科医院で治療したいという患者様は 一度ご相談下さい。当クリニックでは、下記の診療体制で、できるだけ安全で確かな治療をこころがけております。

口腔外科出身の歯科医師による抜歯

当クリニックの院長は、2002年から2013年まで総合病院と大学病院の口腔外科で勤務してきました。豊富な治療経験により確かな手技と知識が培われましたので、安心して治療を受けていただけると考えています。

親知らずの抜歯は手技がとても大切です。正確かつスピーディーに抜歯することができれば、それだけ患者様への負担が少なくなり、術後の腫れや痛みなども抑えることができます。

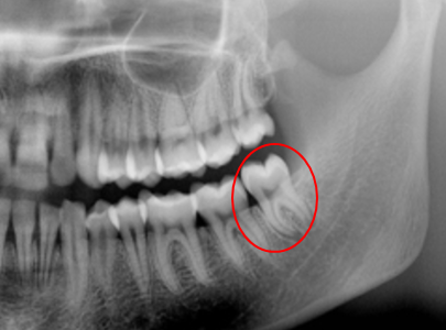
歯科用CTを活用した正確な診断

当クリニックでは、正確な診断を可能とする歯科用CTを導入しております。症例によっては事前に歯科用CTで撮影し、親知らずの生え方や歯根の状態、神経の位置などの情報を把握したうえで抜歯の処置を行います。親知らずの状態を詳細に認識することで、抜歯の際の力のかけ方や力をかける方向、力の強さを計算することができるため、結果として、より痛みの少ない腫れを抑えた抜歯が可能になります。

 

痛みと腫れに配慮した抜歯

痛みと腫れを軽減するためには、短時間で、歯茎の切開を最小限にして、骨をなるべく削らないで、処置を終えることが必要です。しかし、これは技術力が問われるため、歯科医師なら誰でも出来るわけではありません。 

当クリニックでは、口腔外科で臨床経験を積んだ歯科医師が、患者様の負担を考慮して、切開や骨削除は最小限にして短い時間で抜歯を終わらせるように努めています。

抜歯にかかる時間は、歯を抜く処置時間として数分~30分、麻酔の開始から縫合までのトータルの時間を含めて30分~1時間を目安にしています。

親知らずのタイプと抜歯方法

親知らずの抜歯は、その親知らずの生え方により難易度が異なります。

まっすぐに生えた親知らずの抜歯

まっすぐに生えた親知らずは、比較的早く処置が終わり、痛みや腫れも少ないことが多いと言えます。通常の歯の抜歯と同じように、局所麻酔をした後に、歯を骨から脱臼させて抜き出します。その後、患部をガーゼで止血します。傷口が大きい場合は、糸で縫合します。

 

半埋伏の親知らずの抜歯

斜めに生えた親知らずは、まっすぐに生えている親知らずと同じように抜歯するのは不可能です。歯茎の表面に対して斜めに生えいるので、手前の歯にあたって抜き出すことができません。そのため、歯の一部を削って分割して抜歯します。

水平埋伏の親知らずの抜歯

水平埋伏歯とは、横向きに生えている歯のことをいい、抜歯の難易度はかなり高くなります。埋まっている親知らずを抜くため、歯茎を切開して埋伏している歯の一部分を露出させます。それから、歯を小さく分割しながら取り出します。歯の大部分が骨に埋もれている場合は、親知らずを囲んでいる骨の形を整えます。

抜歯の流れ

麻酔

抜歯中に痛みを感じないようにしっかりと麻酔を効かせます。表面麻酔をして注射の痛みを感じなくした後に麻酔注射を行います。

歯茎の切開

親知らずが、横向きに生えていたり、歯茎に覆われている場合は、歯茎を切開して親知らずの頭を出してから、顎の骨を少し削って抜歯しやすくします。

抜歯

親知らずを抜歯します。 親知らずが横向きや斜めに生えている時は、親知らずを分割して取り除きます。

止血

切開した歯茎を縫います。場合によっては傷口に血が固まりやすくなる薬を用いることがあります。止血が確認できれば終了です。個人差がありますが、抜歯後に腫れや痛みを生じる場合があります。 

投薬

お帰りの際に処方箋をお渡し致します。

親知らず抜歯後の注意点

激しい運動や長湯は控える

親知らずを抜歯した当日は、痛みや腫れのほか再出血や発熱の恐れがあるので、「激しい運動」「長時間の入浴」「飲酒」は避けてください。血行が良くなって、出血しやすくなります。

抜歯した部位を触らないで下さい

舌や指などで歯を抜いた部位に触れないように気を付けてください。かさぶたが気になってしまうかもしれませんが、剥がしてしまうと細菌に感染してしまう恐れがあります。また、抜いた穴に食べ物が貯まらないように食後は軽くうがいをしましょう。

麻酔が切れる前に食事をしないで下さい

抜歯後1~2時間は麻酔が効いているため、食事は控えましょう。誤って頬の内側や唇を噛んでしまうことがあります。また、硬いものや熱いもの、辛い食べ物など刺激の強いものは控えてください。

過剰なうがいは控えて下さい

うがいは歯ブラシの時に行う程度にし、必要以上に行わないでください。 血が止まりにくくなります。当日は歯磨きの際に歯磨き粉を使用しないで行うようお願いします。

処方された薬を飲みきりましょう

痛み止めや感染予防のため抗生物質が出ることがあります。処方された薬はきちんと飲みきって下さい。口腔内には、たくさんの雑菌が存在するため、抜歯した傷口から菌が入って、痛みが長引いてしまうことがあります。

お電話でのお問い合わせ

072-744-3981
診療時間
平日 9:00~13:00/15:00~19:30
土曜 9:00~13:00/14:00~17:00
休診日
水曜・日曜・祝日

 

院長プロフィール

院長名

経歴

  • 〇年 大学医学部卒業
  • 〇年 ○○大学病院○科
  • ○年 ○○医院○科

親切・丁寧な対応をモットーとしておりますのでお気軽にご相談ください。

アクセス

※地図はサンプルです

03-0000-0000

〒000-0000
東京都千代田区大手町1-1-1
地下鉄大手町駅より徒歩10分

診療時間

診療時間

月~金曜日
午前 XX:00~XX:00
午後 XX:00~XX:00

休診日

土曜午後・日曜・祝祭日